El cambio de sonrisa de uno de nuestros pacientes
Carillas de porcelana
Hoy en día todos queremos tener una sonrisa estéticamente bonita ya que sabemos que es una parte fundamental de nuestra tarjeta de presentación.
Pero hay muchas personas que por su profesión, la necesitan todavía más.
Por este motivo día a día realizamos tratamientos de estética dental a hombres y mujeres adultos de todas las edades que nos piden un cambio de sonrisa.
Muchos de ellos trabajan en un puesto de atención al público, son comerciales, modelos, proveedores, presentadores… etc.
Una de las opciones más demandadas, ya que es una de las que mejor queda estéticamente y mejor resultado da, es el tratamiento realizado con carillas de porcelana.
Veamos el proceso de uno de nuestros pacientes y el resultado que tuvo con este tratamiento de estética dental.
El proceso
A continuación vamos a detallar el proceso completo para poder disfrutar de nuestras carillas de porcelana:
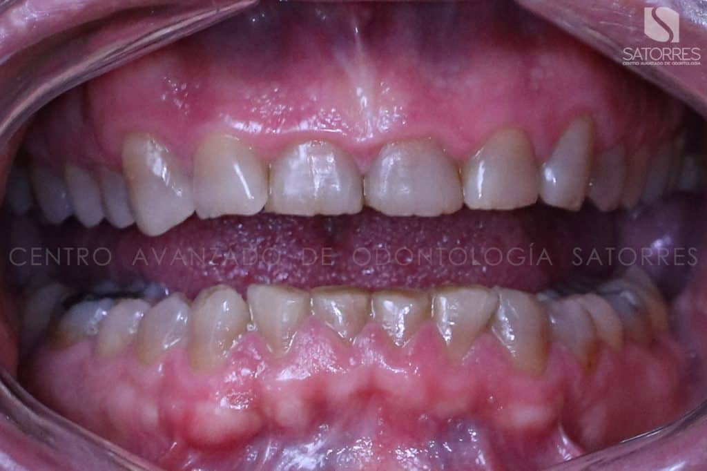
El paciente llega al Centro Avanzado de Odontología Satorres queriendo mejorar la estética de sus dientes.
Lo primero que se le realiza es un estudio completo de su sonrisa para ver la funcionalidad, la simetría y las posibilidades de estética de la misma.

En segundo lugar se realiza un mock up o provisional que se pone encima de los propios dientes del paciente para que vea cómo sería aproximadamente el resultado final.
Decimos “aproximadamente” porque una vez el paciente se ve en sí mismo cómo quedaría su sonrisa, nos puede decir si los quiere más grandes, más pequeños… etc.
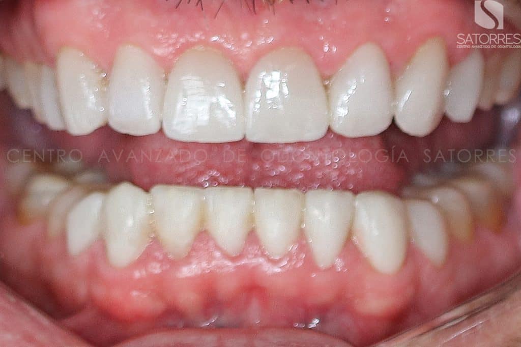
Una vez acordado lo deseado estéticamente, se realiza el diseño final con carillas de porcelana que otorgan una gran durabilidad además de la funcionalidad y naturalidad del diente natural.

Si tu también quieres que tu sonrisa sea estéticamente bonita con nuestras carillas de porcelana ponte en contacto con nosotros.






