¿Qué son las Encías Inflamadas?
Descripción y función de las Encías
El tejido gingival, comúnmente conocido como “encías”, es un tejido blando de recubrimiento y protección, que cubre a la raíz dental y al hueso alveolar, sellándolo. El hueso alveolar es la cavidad donde se incrusta el diente. Este sello o adhesión hecho por las encías mantiene alineados nuestros dientes en su lugar, y evita la entrada de organismos patógenos al hueso subyacente y a las raíces dentales. Además, las encías inflamadas pueden ser un signo temprano de enfermedad periodontal, una afección más grave que puede llevar a la pérdida de dientes si no se trata correctamente.
Definición de la Inflamación de las Encías
La gingivitis es un término médico que se refiere a la inflamación de las encías. Esta inflamación puede ser generalizada, afectando a todas las encías, o puede ser localizada, afectando solo a las encías de tres o cuatro dientes. En ambos casos, se puede utilizar el término más general «encías inflamadas» para describir la condición..
La gingivitis es la hinchazón, enrojecimiento y en algunos casos, el sangrado del tejido gingival. La causa más frecuente de esta patología es la acumulación de sarro y placa bacteriana en los dientes, que, al ubicarse alrededor del borde de las encías, provoca la inflamación del tejido, como signo inicial.
Las encías se inflaman al tener contacto con el sarro, gracias a una respuesta inmunitaria del organismo, contra los microbios que conforman la placa bacteriana. También pueden inflamarse por una fricción mecánica, entre el sarro (una acumulación sólida y rasposa) y las encías (un tejido blando y suave). También es interesante mencionar que otros factores, como ciertos medicamentos y cambios hormonales, también pueden contribuir a la inflamación de las encías.
Con el tiempo y sin el tratamiento adecuado, la inflamación escala y provoca problemas dentales más severos.
El tratamiento de las encías inflamadas puede variar dependiendo de la causa y la gravedad de la afección. En algunos casos, una limpieza dental profesional y una mejor higiene oral pueden ser suficientes para resolver el problema. Sin embargo, en casos más graves, puede ser necesario un tratamiento más intensivo.
¿Cómo son las Encías Inflamadas?
Signos
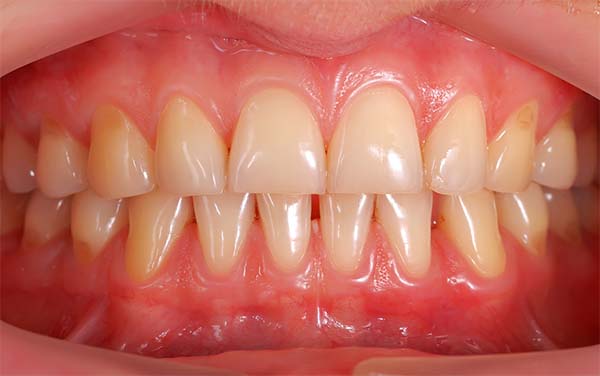
Enrojecimiento de las Encías
El color normal de las encías (rosa pálido) cambia a un tono rojo oscuro.
Inflamación
Las encías se ven brillantes y abultadas, el tamaño es visiblemente más grande.
Sangrado
Las encías sangran al exponerse a temperaturas, presión o fricción, como la del cepillo o el hilo dental.
Retracción gingival
Las encías están retraídas, y las raíces de los dientes quedan expuestas.
Cambios en la textura de las Encías
Se pueden volver más blandas y frágiles al tacto.
Síntomas
Sensibilidad en las encías
Las encías pueden volverse más sensibles y dolorosas, especialmente al comer, cepillarse los dientes o utilizar hilo dental. Se presenta más frecuentemente al cepillar los dientes.
Sangrado espontáneo
Las encías sangran de manera repentina y sin motivo aparente.
Sensación de Encías hinchadas
El paciente experimenta una sensación de abultamiento y presión en las encías. Puede ser útil recordar que los síntomas de las encías inflamadas pueden variar de una persona a otra. Por lo tanto, es importante programar revisiones dentales regulares para un diagnóstico y tratamiento temprano.
Mal aliento
El paciente expresa tener mal aliento constante, que no muestra mejoría con nada.
Diferencias entre las Encías sanas y las inflamadas
Unas encías sanas lucen de un color rosado pálido, ni muy rojo ni muy insaturado, además, no sangran durante el cepillado, el uso de hilo dental, ni al beber o comer alimentos con temperaturas muy altas o bajas.
Las encías inflamadas muestran una coloración roja marcada, se ven abultadas y pueden sangrar fácilmente, además, el paciente experimenta dolor al tacto, lo que no es habitual en las encías sanas.
Tipos de inflamación de las encías
Gingivitis
La gingivitis es el siguiente paso en el agravamiento progresivo de una inflamación de las encías, donde solo están inflamadas algunas zonas, pero no la arcada completa.
Normalmente, las personas no tienen gingivitis desde el inicio, sino que esta se desarrolla cuando se descuida el principal signo de que algo no anda bien con nuestra salud bucodental, y ese signo son algunas áreas de las encías con inflamación repentina.
La gingivitis es una condición reversible, que implica inflamación, enrojecimiento y sangrado de las encías, debido a una acumulación de placa bacteriana a lo largo de toda la línea gingival.
Es crucial entender que la gingivitis, si no se trata, puede progresar a periodontitis. Es por ello que es tan importante tratar la gingivitis tan pronto como sea posible.
Periodontitis
La periodontitis es una condición dada tras el agravamiento de una gingivitis sin tratar.
En la periodontitis, además de las encías, también se ve afectado el tejido óseo que sostiene nuestros dientes, denominado hueso alveolar. Esto sucede cuando la placa se extiende más allá de la línea superior de las encías, y se abre paso a través de la línea baja, penetrando el hueso. En la periodontitis, los dientes se aflojan y eventualmente, se caen.
Similitudes entre ambos tipos
Causa principal
Ambos son ocasionados por el exceso de placa bacteriana, solo que en diferentes proporciones. La gingivitis sucede con una cantidad menor, y la periodontitis, al ser más grave, sucede debido a concentraciones mayores de placa.
Síntomas tempranos
Ambos poseen síntomas y signos similares, pero expresados en diferentes niveles de gravedad, recordando que la periodontitis es la más severa entre las dos.
Prevención y tratamiento
Ambas condiciones pueden evitarse con una buena higiene bucal y visitas regulares al dentista, pero solo la gingivitis es reversible.
Diferencias entre ambos tipos
Gravedad
La gingivitis es una condición reversible, por medio de tratamiento odontológico y un mejoramiento en los hábitos de higiene, en cambio, la periodontitis es de carácter irreversible, ya que cuando es sanada, deja secuelas de daño bucodental.
Afectación del hueso
La gingivitis solamente afecta al tejido gingival, que son las encías, en cambio, la periodontitis afecta a las encías y al hueso alveolar.
Tratamiento
La gingivitis se cura a través de limpiezas hechas por un profesional y una rutina de higiene rigurosa, en cambio, la periodontitis requiere de tratamientos más avanzados, como: raspado y alisado radicular, endodoncia, cirugía periodontal o extracción.
Causas de las Encías Inflamadas
Mala higiene bucal
La placa bacteriana es la causa principal de las encías inflamadas, como se mencionó anteriormente. De este modo, las personas que no se cepillan en los momentos más importantes del día, que son al despertarse y antes de dormir, y que además no utilizan complementos de higiene como hilos, enjuagues e irrigadores, son altamente propensos a sufrir de inflamación en las encías.
Enfermedades sistémicas
Diabetes
Los pacientes con diabetes son más susceptibles a desarrollar enfermedades inflamatorias, como la gingivitis. Esto es debido a la hiperglucemia, que favorece la proliferación de bacterias que tengan contacto con las encías.
Artritis reumatoide
Algunas investigaciones sugieren que existe la probabilidad de que la inflamación sistémica, característica de la artritis reumatoide, puede aumentar la probabilidad de sufrir inflamación en las encías.
VIH
El VIH es una enfermedad del sistema inmunológico, que entre otras consecuencias, vuelve al portador susceptible ante las infecciones, entre ellas las infecciones bucodentales. Igualmente, las infecciones progresan más rápidamente y son difíciles de curar, por lo que la gingivitis por acumulación de placa bacteriana es más fácil de desarrollar en pacientes con VIH.
Embarazo y fluctuaciones hormonales
Las fluctuaciones hormonales, como las que se experimentan durante el embarazo, la menopausia y la menstruación, pueden hipersensibilizar las encías, aumentando la probabilidad de que se inflamen debido a cosas inofensivas, como alimentos crujientes o bebidas calientes. Es importante recordar que, si la inflamación o la sensibilidad persisten, debe consultar a un dentista.
Uso de ciertos medicamentos
Se ha demostrado que los medicamentos bloqueadores de los canales de calcio son los más propensos a ocasionar, como efecto secundario, inflamación en las encías.
Algunos anticonceptivos orales, medicamentos empleados durante la quimioterapia, medicamentos para la presión arterial e inmunosupresores, como la tracolimús y ciclosporina, pueden también ocasionar, pero con menos frecuencia, inflamación de las encías como efecto secundario.
Complicaciones derivadas de las Encías Inflamadas
Pérdida de dientes
La periodontitis, cuando está en su fase más avanzada e irreversible, ocasiona la caída de las piezas dentales, ya que la infección se apodera de todo el soporte estructural dentario, y lo destruye, dejando al diente sin el tejido óseo necesario para sostenerse.
Abscesos dentales
Cuando la inflamación está dada por una infección y empeora hasta volverse una periodontitis, las encías están propensas a sufrir un absceso ocasionado por las bacterias que penetran por debajo de la línea de las encías.
Enfermedades cardiovasculares
La inflamación de las encías puede agravar la inflamación sistémica que caracteriza a las enfermedades cardiovasculares, promoviendo así la formación de placas en las arterias, uno de los factores causantes de ataques cardíacos y accidentes cerebrovasculares.
Dificultad en el control de la diabetes
Cuando la inflamación de las encías produce una inflamación sistémica crónica, el normal funcionamiento de las células y la insulina se ve afectado, ocasionando una resistencia a la insulina y promoviendo así el desarrollo progresivo de diabetes tipo 2.
Diagnóstico de las Encías Inflamadas
Proceso de diagnóstico en la clínica
Historial médico y dental
El dentista primero recogerá la información fundamental para un diagnóstico preciso: historial médico, para determinar la existencia de otro tipo de enfermedades, y el historial dental, que le indicará si el paciente ha sufrido afecciones bucodentales que puedan estar relacionadas con la inflamación de las encías. Asimismo, se realizará la anamnesis, para saber si el paciente posee hábitos dañinos que puedan relacionarse con la inflamación.
Examen bucal
Se examina visualmente la inflamación y el grado de inflamación, a través de la identificación de signos como el enrojecimiento, hinchazón y frecuencia de sangrado.
Medición de las bolsas periodontales
Se mide la longitud de las bolsas mediante una sonda periodontal, que determina su profundidad y consecuentemente si son bolsas sanas o perjudiciales.
Radiografías
La radiografía es indispensable durante la detección de infecciones gingivales y destrucción de tejido, como lo es la periodontitis, ya que en un examen visual no se puede determinar el alcance de la infección y del tejido infectado.
Autodiagnóstico en hogar
El autodiagnóstico, así como la automedicación, no son prácticas recomendadas. En su lugar, mencionaremos signos y síntomas importantes, que el paciente puede reconocer en sí mismo, para determinar si debe acudir con un profesional.
Encías rojas
Las encías enrojecidas, hinchadas o sensibles no son normales. Si presenta inflamación, en una sola sección de encía conectada a un diente específico, puede ser debido a un resto alimenticio incrustado o por masticar algún alimento áspero o crujiente; si, en cambio, presenta varias secciones de encías inflamadas, el caso se considera más delicado y debe ser evaluado por un profesional.
Halitosis
El mal aliento persistente (aunque se cepille) puede ser indicativo de varias patologías, entre ellas las encías inflamadas. No intenté tratar usted mismo la halitosis y consulté a un profesional que pueda determinar la causa con mayor eficiencia.
Cambios en la oclusión de los dientes
Si al morder siente que “hay algo fuera de lugar”, como el encaje de sus dientes, un aumento de la presión al morder o dolor, consulte con un profesional, ya que este síntoma es indicativo de varias patologías, entre ellas la inflamación de las encías en fase de periodontitis.
Tratamiento para las Encías Inflamadas
Mejoramiento de la higiene bucal
Si la higiene bucal no mejora, ningún tratamiento será 100% efectivo a largo plazo. El paciente debe cambiar su rutina diurna y nocturna de higiene dental y mejorar los instrumentos que utiliza, con tal de garantizar una limpieza efectiva.
Cepillado adecuado
El cepillo debe ser de cerdas suaves y la pasta dental fluorada. El cepillado debe ser de tres veces al día para pacientes que han sufrido de gingivitis o periodontitis. Las cerdas del cepillo deben deslizarse suavemente alrededor de cada diente, en la cara interior y posterior. El cepillado no debe durar más de 5 minutos.
Uso de hilo dental
El hilo dental diario, especialmente durante la noche, es esencial para irse a dormir sin ningún tipo de resto de comida en nuestros dientes. El hilo alcanza aquellos lugares que el cepillo no.
Enjuagues bucales
El enjuague se utiliza después del hilo y el cepillo, como un sello para terminar con la limpieza por medio de una extra protección contra el crecimiento de bacterias en nuestros dientes. Los enjuagues bucales son antimicrobianos, y se deshacen de aquellos microorganismos remanentes que no son visibles a la vista.
Medicación
En casos de inflamación de encías, diagnosticados profesionalmente, el dentista puede recetar antibióticos y antiinflamatorios, y como complemento, productos de higiene con medicación, como la clorhexidina.
Tratamientos odontológicos: limpiezas profesionales, raspado y alisado radicular
Profilaxis dental
El dentista elimina la placa y el sarro que se han formado alrededor de las líneas de las encías, utilizando curetas dentales o ultrasónicos.
Raspado y alisado radicular
Se enfoca en la limpieza de las bolsas periodontales que se han formado debido al sarro. En este procedimiento se elimina el sarro que existe dentro de las bolsas, realizando primero una previa exploración que determine la concentración existente. Posteriormente, se realiza el alisado radicular, donde se remueve el sarro adherido a la raíz, para que el tejido gingival y radicular puedan sanar y adherirse nuevamente al diente.
Cirugía periodontal
La cirugía periodontal se realiza en los casos más graves, donde se debe intervenir quirúrgicamente al paciente para retirar el tejido enfermo irrecuperable, y restaurar el tejido de soporte (tejido óseo) que ha sido dañado por la infección. En este tipo de intervenciones puede ser necesario realizar un injerto de hueso al paciente, para recuperar la estructura ósea que perdió.
Prevención de las Encías Inflamadas
Cuidado dental diario
El cuidado dental diario, siguiendo los consejos que se han dado y explicado, garantiza la prevención de la gingivitis casi por completo, ya que debemos recordar que la placa bacteriana es el principal causante de la inflamación de las encías.
Cuando evitamos la formación de esta película de bacterias sobre la superficie de nuestros dientes, a través de la limpieza regular, podemos evitar muchas patologías bucodentales, entre ellas la gingivitis o inflamación de las encías.
Visitas regulares al odontólogo
La limpieza propia no basta, sino que es crucial complementar con revisiones odontológicas, donde se determine el estado de nuestro esmalte (cuanto más deteriorado esté, más fácil es para las bacterias adherirse), el crecimiento de placa y sarro, la densidad de nuestro tejido óseo (la densidad se pierde con el envejecimiento y los dientes pueden aflojarse debido a esto) y si es necesario realizar profilaxis, las cuales se recomiendan dos veces al año.
Alimentación balanceada
Las dietas ricas en vitaminas y minerales son fundamentales para que el cuerpo pueda renovarse y realizar funciones de manera óptima. En cuanto a los macronutrientes, las comidas diarias que tienen predominancia de azúcares promueven el crecimiento de bacterias más rápidamente que otros alimentos. Asimismo, los alimentos ácidos debilitan el esmalte protector de los dientes. Tener una ingesta controlada de azúcares y ácidos es importante para prevenir enfermedades bucodentales, entre ellas la gingivitis o inflamación de las encías.
Mitos y verdades sobre las Encías Inflamadas
Desacreditando mitos comunes
Cepillado fuerte, ¿es necesario?
No, no es necesario cepillarse con fuerza los dientes para limpiarlos. En realidad, esta práctica solo nos perjudica, debilitando nuestro esmalte a través del desgaste. La clave para una buena limpieza es la técnica, no la fuerza.
Encías sangrantes, ¿son realmente normales?
El sangrado de encías nunca es normal, ni al cepillarnos, ni al usar hilo de dientes, ni al comer o hacer cualquier actividad. Si las encías debe acudir al odontólogo, para que este encuentre la causa y se descubra si es inofensiva o no y en caso de no serlo, se pueda empezar a recibir un tratamiento a tiempo, antes de que empeore.
Las Encías Inflamadas, ¿duelen o no?
Las encías inflamadas no duelen al inicio, pero pueden doler cuando se mastican alimentos. La verdad es que en fases iniciales, las encías inflamadas son indoloras, hasta que la inflamación progresivamente empeora.
Confirmación de verdades
Dejar de fumar mejora la salud de las Encías
Fumar es un hábito dañino para nuestros tejidos, que puede dañarlos y enfermarlos. El dejar de fumar mejora considerablemente la salud gingival.
Una buena higiene puede arreglar un problema de Encías Inflamadas
Es una verdad parcialmente cierta, ya que, aunque es indispensable la buena higiene para curar la gingivitis, también se necesita un chequeo odontológico, que personalizadamente nos indique cómo, cuánto y cuándo limpiar nuestros dientes, y determinar que tan agravadas están nuestras encías y cuánto tiempo tardarán en mejorar.







