
Las urgencias dentales son situaciones clínicas que requieren atención inmediata debido a afecciones que surgen repentinamente, ya sea por accidentes o descuidos. Es vital abordar estas urgencias de manera rápida para aliviar síntomas intensos y prevenir complicaciones.
En una región turística como Valencia, conocida por su gran afluencia de visitantes durante el verano, las urgencias dentales adquieren una relevancia especial. Clínica Satorres, con sedes en Paterna y Manises, está especialmente preparada para atender todos los casos eficazmente en toda época del año, ofreciendo un servicio rápido y profesional.
Durante el verano, el aumento de actividades al aire libre y cambios en el estilo de vida hacen que los casos de caries y traumatismos dentales incrementen. Es en esta época cuando los profesionales de la salud bucodental se centran en concienciar a las personas sobre la importancia de mantener una buena higiene oral, utilizar protección adecuada al practicar deportes y seguir una dieta equilibrada.
Bibliografía: ReJournal of Dental Research – Smith, John – American Association for Dental Research
¿Qué son las Urgencias Dentales?

Las urgencias dentales son situaciones críticas que demandan atención inmediata debido a su potencial para causar complicaciones severas si no se tratan de forma oportuna. Estos casos, que a menudo involucran dolor agudo o síntomas de alto riesgo, pueden derivar de accidentes, infecciones o problemas dentales subyacentes.
Urgencia con dolor intenso
El dolor dental agudo puede surgir de manera inesperada y volverse insoportable. Este tipo de dolor, que suele requerir analgésicos para su manejo, es un indicativo de posibles problemas graves que requieren una evaluación urgente para prevenir daños permanentes.
Fractura de diente urgente
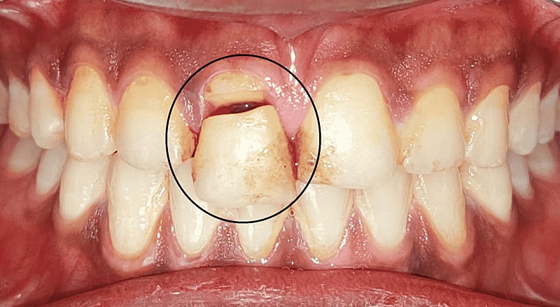
Las fracturas dentales, causadas por traumatismos, resultan en dolor intenso y requieren atención inmediata para prevenir infecciones y pérdida dental. En caso de fractura, es crucial conservar el fragmento en leche o suero fisiológico hasta la consulta con el dentista.
Pérdida de restauraciones dentales
La pérdida de empastes o coronas deja los dientes expuestos y vulnerables a infecciones, aumentando el riesgo de desarrollar complicaciones adicionales.
Infección de las encías
Infecciones como la gingivitis pueden progresar rápidamente a periodontitis si no se tratan a tiempo, afectando la estructura de soporte dental. Los síntomas incluyen sangrado, inflamación y mal aliento persistente.
Dolor o lesión en la mandíbula
Problemas en la Articulación Temporomandibular (ATM), como luxaciones, pueden causar dolor incapacitante y dificultar el movimiento mandibular. Estos síntomas requieren atención especializada para evitar complicaciones mayores.
Características de las Urgencias Dentales en Verano
Durante el verano, las urgencias dentales tienden a incrementarse debido a factores estacionales. En nuestras clínicas en Paterna y Manises, en Valencia, es esencial comprender estos factores para prevenir y gestionar adecuadamente las urgencias dentales.
Mayor incidencia de urgencias
El aumento de actividades recreativas y deportivas, junto con la relajación de las rutinas diarias, hace que las urgencias dentales sean más frecuentes en verano. Desde traumatismos por deportes hasta problemas derivados del consumo de alimentos fríos, estas urgencias son más comunes en áreas de alta concurrencia como Paterna y Manises.
Factores de riesgo estacionales
El clima cálido de verano, característico de Valencia, trae consigo un aumento en la exposición al sol, cambios en la dieta con mayor consumo de alimentos azucarados y bebidas frías, y posible deshidratación. Estos factores pueden agravar problemas dentales existentes y aumentar la susceptibilidad a nuevas urgencias.
Actividades al aire libre
Las actividades al aire libre, populares en Paterna y Manises, incrementan el riesgo de accidentes dentales. Usar protectores bucales y tomar precauciones adecuadas es fundamental para prevenir lesiones.
Conocer estas características permite a los residentes y visitantes de Paterna y Manises estar mejor preparados para mitigar riesgos y manejar eficazmente las urgencias dentales durante la temporada estival.
Bibliografía: Dental Traumatology: Prevention and Treatment – Andersson, Lars – Wiley Online Library
Tipos Comunes de Urgencias Dentales
En la Clínica Dental Satorres, ubicada en Paterna y Manises, estamos preparados para atender una variedad de urgencias dentales que son especialmente comunes durante el verano. Te hacemos una muy breve síntesis de ellos, para que puedas identificar causas, síntomas y acción, por si no estás cerca de una clínica dental de confianza en ese momento:
Dolor de Muelas y Abscesos Dentales
Causas
Infecciones bacterianas, caries profundas o lesiones.
Síntomas
Dolor agudo, hinchazón, fiebre y sensibilidad al frío o calor.
Acción
Acudir a la clínica para drenaje y tratamiento antibiótico. Nuestra prioridad es aliviar el dolor y tratar la infección rápidamente.
Fracturas o Roturas Dentales
Causas
Traumatismos por caídas o impactos durante actividades recreativas.
Síntomas
Dolor inmediato, sensibilidad y dificultad para masticar.
Acción
Conservar el fragmento del diente en leche y acudir a la clínica para posible reimplantación o colocación de una corona temporal.
Infecciones y Problemas de las Encías
Causas
Mala higiene bucal, consumo excesivo de azúcares.
Síntomas
Sangrado, inflamación, dolor persistente y mal aliento.
Acción
Realizar una limpieza profesional y tratamiento periodontal si es necesario para prevenir la progresión a periodontitis.
Problemas con Prótesis Dentales
Causas
Desajustes debido al calor o uso prolongado.
Síntomas
Incomodidad, dolor o movimiento de la prótesis.
Acción
Ajustar o reparar la prótesis en la clínica para asegurar un ajuste cómodo y seguro.
Sensibilidad Dental Extrema
Causas
Desgaste del esmalte, recesión gingival.
Síntomas
Dolor al consumir alimentos fríos o calientes.
Acción
Aplicar tratamientos desensibilizantes y revisar la causa subyacente para proporcionar alivio duradero.
Causas de las Urgencias Dentales en Verano
El verano es una época propicia para el ocio y las actividades al aire libre, pero también conlleva riesgos aumentados para la salud dental. En Paterna y Manises, la Clínica Satorres ofrece un enfoque preventivo y reactivo para manejar estas urgencias.
Cambios en la Alimentación y Hábitos
Consumo de Alimentos Fríos
El aumento en el consumo de helados y bebidas frías para combatir el calor puede agravar los problemas de sensibilidad dental, especialmente en personas con esmalte dental desgastado. Esto no solo provoca dolor, sino que también puede causar fisuras en dientes ya debilitados.
Ingesta de Azúcares
El verano suele ir acompañado de un mayor consumo de refrescos y dulces, lo que incrementa el riesgo de desarrollar caries. La acidez de estos productos puede erosionar el esmalte dental, especialmente si no se mantiene una higiene bucal rigurosa.
Actividades Recreativas y Deportivas
Deportes de Alto Impacto
Actividades como el fútbol, el baloncesto y el skateboarding, populares en verano, aumentan el riesgo de traumatismos dentales. El uso de protectores bucales es esencial para prevenir fracturas dentales y lesiones en la mandíbula.
Accidentes en Deportes Acuáticos
Los deportes acuáticos pueden resultar en colisiones o caídas que ocasionen desprendimiento de dientes o lesiones en las encías. La vigilancia y la precaución son claves para evitar estos accidentes.
Descuido de la Higiene Oral
Rutinas de Higiene Relajadas
Durante las vacaciones, las rutinas diarias de cuidado dental, como el cepillado y el uso de hilo dental, pueden relajarse, permitiendo la acumulación de placa y aumentando el riesgo de infecciones y caries.
Falta de Revisiones Dentales
Los chequeos dentales antes del verano permiten identificar y tratar problemas menores antes de que se conviertan en urgencias. La prevención es clave para evitar sorpresas desagradables durante las vacaciones.
Conociendo estas causas, los residentes y visitantes de Paterna y Manises pueden tomar medidas preventivas. La Clínica Satorres está disponible para consultas y tratamientos que aseguren una salud dental óptima durante la temporada estival.
Bibliografía: The Role of Diet in Oral Health – Sheiham, Aubrey – Public Health Nutrition
Cómo Prevenir y Cuidar las Urgencias Dentales en Verano
Durante el verano, es esencial adoptar prácticas preventivas para minimizar el riesgo de urgencias dentales. En Paterna y Manises, la Clínica Satorres recomienda las siguientes medidas para mantener una salud dental óptima.
Mantenimiento de la Higiene Oral
Rutinas de Cepillado
Asegúrate de cepillarte los dientes al menos dos veces al día con una pasta dental con flúor. Presta especial atención a los dientes traseros, donde es más probable que se acumule placa.
Uso de Hilo Dental
No olvides usar hilo dental diariamente para eliminar los restos de comida y la placa que se acumulan entre los dientes, lo que ayuda a prevenir caries e infecciones de las encías.
Uso de Protectores Bucales
En Deportes de Contacto
Si practicas deportes de contacto como el fútbol o el baloncesto, usa siempre un protector bucal para proteger tus dientes de posibles traumatismos.
Para Deportes Acuáticos
Incluso en deportes acuáticos, los protectores bucales pueden ayudar a prevenir lesiones dentales causadas por colisiones o caídas.
Hidratación Adecuada
Consumo de Agua
Mantente hidratado bebiendo agua regularmente. Esto no solo ayuda a tu salud general, sino que también promueve una boca limpia al enjuagar restos de comida y bacterias.
Revisión Dental Previa al Verano
Chequeo Completo
Visita a tu dentista antes de las vacaciones para un chequeo completo. Esto puede ayudar a identificar y tratar problemas potenciales antes de que se conviertan en urgencias dentales.
Planificación de Tratamientos
Planifica cualquier tratamiento dental necesario con antelación para evitar problemas durante el verano.
Siguiendo estas recomendaciones, los residentes y visitantes de Paterna y Manises pueden disfrutar de un verano sin preocupaciones dentales. La Clínica Satorres está disponible para proporcionar el apoyo y tratamiento necesario para mantener tu sonrisa saludable.
Primeros Pasos Ante una Urgencia Dental.
Evaluación inicial.
El primer paso es identificar lo que ocurre. ¿Se ha roto o desprendido un diente?, ¿Tiene sangrado o un dolor intenso repentino? Es importante identificar, en la medida de lo posible, la causa de nuestra afección, de ese modo podemos dar indicaciones inmediatas al llegar a urgencias. Es esencial buscar atención inmediata en casos de síntomas severos como dolor intenso, sangrado abundante o fracturas. Para síntomas menores, puede ser apropiado esperar y observar antes de buscar atención.
Manejo del dolor y la inflamación.
Ya que el dolor es uno de los síntomas más comunes, se indica la toma de analgésicos de venta libre para aliviarlo, como ibuprofeno o paracetamol, siempre que no presente alergia o contraindicaciones relacionadas con su uso.
Manejo del sangrado.
En casos de sangrado se indica la aplicación de una compresa fría cerca del área afectada, que disminuya la concentración de sangre en la zona y consecuentemente el sangrado. Como alternativa también se indica hacer presión con una gasa sobre el área sangrante, de modo que se detenga el sangrado manualmente.
Aplicar frío.
En caso de traumatismos, de sangrado, de inflamación, se debe aplicar frío. Cuando los dientes y su tejido adyacente sufre alguna alteración o problema repentino, estos siempre accionaran una respuesta inmunoinflamatoria, que aumenta el dolor y la sensibilidad. Colocar compresas frías cerca de la zona va a generar un leve y natural efecto relajante, que disminuya significativamente la inflamación.
Qué no hacer antes de llegar a la clínica.
No manipular excesivamente.
En casos de infección y traumatismo, es fundamental evitar tocar la zona y manipularla con remedios caseros, ya que una mala maniobra puede empeorar el traumatismo y el contacto con un objeto contaminado puede empeorar la infección.
No aplicar calor.
A diferencia del frío, el calor promueve un mayor sangrado y aumenta la inflamación. Esto provoca un incremento del dolor. Durante una urgencia dental , debe evitarse entrar en calor, sudorizar o alterarse.
No demorar.
La primera acción por parte del paciente es esperar “a ver si el dolor desaparece” y aplicar remedios caseros. La falta de atención profesional y de un diagnóstico médico puede agravar la situación y generar un problema mayor, seguido de problemas adicionales que antes no estaban.
Remedios caseros
Evite remedios caseros como enjuagues con sustancias irritantes o aplicaciones de calor directo sobre la zona afectada.
Importancia de contactar a un profesional lo antes posible.
Enfatizamos la importancia de la atención temprana no solo para tratar el problema actual, sino también para prevenir complicaciones futuras y asegurar una recuperación óptima.
Evaluación profesional.
Solo los profesionales dentales pueden esclarecer un diagnóstico y un tratamiento adecuado.
Prevención de un agravamiento.
Como se mencionó anteriormente, esperar a ver si la situación mejora o no, puede hacer que la condición empeore. Evitar un deterioro es una de las razones primordiales para contactar a un profesional lo antes posible.
Bibliografía: Oral Health and Systemic Health – Genco, Robert – Journal of the American Dental Association
Emergency Dental Care: Protocols and Practices – Wilson, Thomas – ScienceDirect
Atención en la Clínica.
Proceso de evaluación en la clínica.
Antes de su visita de urgencia, prepare un registro de sus síntomas, medicamentos actuales y cualquier condición médica relevante para facilitar el diagnóstico y tratamiento.
Historial médico y dental.
Se realiza una anamnesis, donde se le pide información de los hechos y de su historial médico y dental.
Examen clínico.
Se hará una exploración visual de la boca, las encías, la lengua, los dientes y demás tejidos presentes. Después se identificará las zonas que presentan hinchazón y traumatismos, creando un panorama general de la afección.
Métodos de diagnóstico.
Radiografías.
Se pueden solicitar radiografías dentales que muestren más detalladamente el estado de la dentadura, las raíces de los dientes y su alineación.
Prueba de sensibilidad.
Se evalúa la respuesta nerviosa de cada diente a los estímulos externos como el frío, el calor o el tacto.
Evaluación de la oclusión.
Se revisa el encaje de los dientes para divisar alguna irregularidad en la posición de los mismos.
Tratamiento utilizados en casos de urgencia.
Manejo del dolor.
Cuando el paciente acude a urgencias dentales, el primer paso es, en medida de lo posible, administrarle formas de aliviar su dolor. Esto puede ser por medio de fármacos antiinflamatorios y analgésicos, o directamente con anestesia local.
Tratamientos provisorios.
Dependiendo de la gravedad de la afección, se pueden aplicar tratamientos provisionales hasta que se cumpla o se elaboré un tratamiento definitivo. Este tipo de tratamientos provisionales se utilizan mayormente en arreglos estéticos, donde un diente se ha roto y luce antiestético.
Antibióticos.
Se utilizan cuando hay infecciones, que antes de ser tratadas con un tratamiento principal, deben ser controladas con antibióticos.
Enfoque en el alivio del dolor y la estabilización de la condición.
Prioridad al Alivio del Dolor.
Al llegar a la clínica durante una urgencia dental, el principal objetivo del personal es aliviar el dolor del paciente, antes de proceder con los tratamientos y el diagnóstico.
Estabilización.
En casos de traumatismos, después de aliviar al paciente, el siguiente paso es estabilizarlo, de modo que el diente o los dientes no sufran más daños.
Plan de Tratamiento a Largo Plazo.
Después de aliviar y estabilizar al paciente, se realiza el análisis y la evaluación de la situación, para dar un diagnóstico y crear un tratamiento que solucione la afección y sus posibles causas subyacentes.
Cómo Elegir una Clínica Dental para Urgencias.
Considere también las opiniones y experiencias de otros pacientes, la disponibilidad de atención de urgencia fuera de horario y la capacidad de la clínica para manejar diversos tipos de urgencias dentales.
Factores a considerar.
Cercanía.
La ubicación de la clínica debe ser accesible en casos de emergencia y debe encontrarse cerca de paradas de transporte público o estacionamientos donde aparcar rápidamente.
Horarios.
Las clínicas con horarios 24/7 son ideales para tratar urgencias, así como las clínicas que no requieren una cita previa o tienen poco tiempo de espera.
Experiencia del personal.
Los profesionales deben estar calificados para trabajar, y mientras mayor es su formación más garantía existe de que el tratamiento sea de alta calidad. Asimismo, mientras más personal y variedad de personal tenga la clínica, menor será el tiempo de espera y mayor será la variedad de casos que pueden atender.
Disponibilidad de tecnología avanzada.
Las clínicas con equipos tecnológicos avanzados realizan diagnósticos más precisos y tratamientos más rápidos y efectivos, asimismo, el que una clínica ofrezca tecnología avanzada a sus pacientes es un indicativo de que se mantienen al día con las innovaciones más recientes en el área.
Urgencias en Clínica Dental Satorres.
Cercanía.
La clínica cuenta con dos ubicaciones en Valencia: una en Manises, ubicada en C/ Carretera Ribarroja 11 bajo, y otra en Paterna, situada en C/ Maestra Mariana Colás, 28.
Horarios.
En Manises, la clínica abre de lunes a viernes de 10:00h a 14:00h y de lunes a viernes de 15:00h a 20:00h, mientras que en Paterna, atiende de lunes a jueves de 9:00h a 21:00h y viernes de 9:00h a 20:00h.
Formas de pago.
La Clinica Dental Satorres cuenta con facilidades de pago y financiamiento de hasta 5 años, junto con garantía por escrito para las prótesis dentales que realizan a sus pacientes, recalcando el compromiso que tienen con la calidad de sus servicios y con hacerlos accesibles para todas las personas.
Experiencia del personal.
La Clínica Dental Satorres tiene más de 20 años de experiencia. Inicio siendo un conviccioso proyecto familiar y hoy en día se ha convertido en un centro avanzado de odontología, con un equipo completo de profesionales, que incluye: especialistas en estética dental, ortodoncistas, odontólogos generales, cirujanos, endodocistas, odontopediatras, periodontistas, higienistas dentales y auxiliares de odontología.
Gracias a esta estructura profesional completa en el área de odontología, la Clínica Dental Torres cuenta con la experiencia y personal adecuado para tratar una gran variedad de urgencias dentales.







